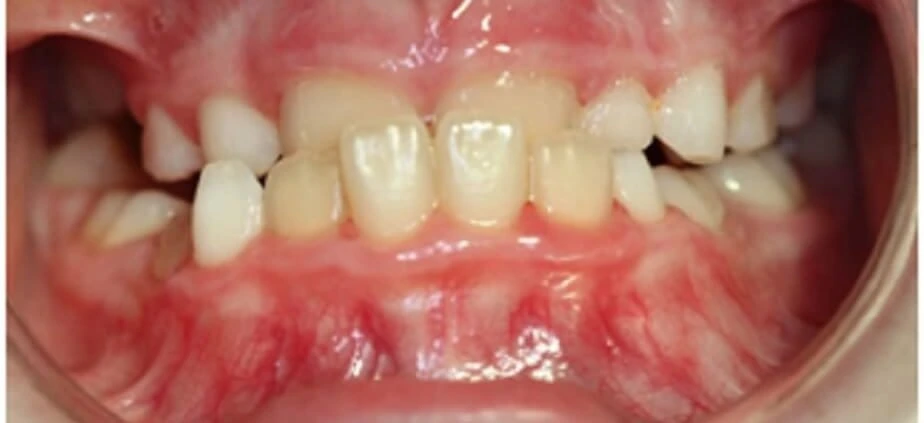
La mordida cruzada anterior es un tipo de maloclusión dental que implica una relación anormal entre los dientes superiores e inferiores.
Este trastorno puede deberse a factores genéticos, hábitos infantiles inadecuados o un desarrollo óseo deficiente.
Si no se trata, puede acarrear consecuencias como desgaste dental, problemas en la articulación temporomandibular y dificultades en la masticación y el habla.
Existen diversas opciones de tratamiento, que varían según la edad del paciente, desde ortopedia en niños hasta ortodoncia y cirugía en adultos.
¿Qué es mordida cruzada anterior?
La mordida cruzada anterior se presenta como una maloclusión que altera la alineación habitual de los dientes.
Un entendimiento claro de sus características es crucial para la atención y tratamiento adecuados.
Diferencias entre mordida cruzada anterior y otros tipos de maloclusión
Es esencial destacar que la mordida cruzada anterior se diferencia notablemente de otros tipos de maloclusión, como la mordida abierta o la sobremordida. Estas son algunas características que la distinguen:
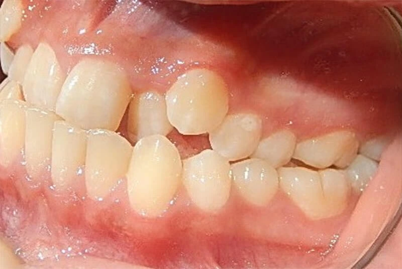
- En la mordida cruzada anterior, los incisivos superiores ocluyen por dentro de los inferiores, mientras que en la sobremordida, los dientes superiores cubren excesivamente a los inferiores.
- La mordida cruzada puede ser un problema estético y funcional, ya que impacta directamente en la masticación y el habla.
- La identificación temprana de la mordida cruzada es clave para evitar complicaciones a largo plazo.
Relación dental y ósea en la mordida cruzada anterior
Las relaciones tanto dentales como óseas juegan un papel fundamental en el desarrollo de la mordida cruzada anterior.
Un crecimiento desproporcionado en el maxilar y la mandíbula puede ocasionar un malencajamiento:
- La desalineación entre las arcadas dentales puede resultar en un desgaste dental anormal y problemas en la articulación temporomandibular (ATM).
- La interacción de los huesos maxilares y mandibulares afecta no solo la oclusión, sino también la estética facial.
Tipos de mordida cruzada anterior: Dentaria y esquelética
Es fundamental diferenciar entre los dos principales tipos de mordida cruzada anterior que pueden presentarse:
- Mordida cruzada dentaria: Esta forma se refiere exclusivamente a la malposición de los dientes, sin que haya un desajuste óseo significativo.
- Mordida cruzada esquelética: En este caso, hay un verdadero desajuste en la relación de las estructuras óseas que sostienen los dientes, lo cual puede requerir un tratamiento más complejo.
Ambas condiciones requieren evaluación profesional para determinar el enfoque adecuado de tratamiento.
La asesoría ortodóntica es fundamental para evitar complicaciones que puedan surgir si no se aborda la maloclusión de manera oportuna.
Causas de la mordida cruzada anterior

Las causas de la mordida cruzada anterior pueden ser diversas e influyen en el desarrollo dental y la relación oclusal. La identificación de estas causas es esencial para implementar tratamientos eficaces.
Influencia genética y factores hereditarios
Las características hereditarias tienen un impacto significativo en la estructura de los dientes y la forma de la mandíbula.
La predisposición genética puede originar una alineación dental incorrecta que favorezca la aparición de esta maloclusión.
Hábitos infantiles que afectan la oclusión
Los hábitos orales de los niños son cruciales en su desarrollo dental. Varios comportamientos pueden influir negativamente en la oclusión.
Succión del dedo y respiración bucal
La succión del dedo es un hábito frecuente en la infancia que puede alterar la posición de los dientes anteriores.
La respiración bucal, por su parte, también afecta la formación adecuada de los huesos maxilares, alterando la relación entre las arcadas dentales.
Posición lingual y patrones funcionales
La forma en que la lengua se posiciona puede generar presiones anormales en los dientes, afectando su alineación.
Las posiciones incorrectas pueden provocar el desajuste entre los dientes superiores e inferiores.
Alteraciones en el desarrollo óseo y crecimiento maxilar
El crecimiento desigual entre el maxilar superior y la mandíbula es una causa común de la mordida cruzada anterior.
Hipoplasia maxilar y hiperplasia mandibular
El desarrollo insuficiente del maxilar superior (hipoplasia) y el crecimiento excesivo de la mandíbula (hiperplasia) pueden originar una discrepancia que da lugar a la maloclusión.
Problemas dentales asociados
Las alteraciones en la erupción dental también juegan un papel importante en la mordida cruzada anterior.
Erupción tardía y dientes supernumerarios
Cuando los dientes permanentes no emergen en el momento adecuado, se puede afectar la alineación dental, provocando un desajuste oclusal.
Asimismo, la presencia de dientes supernumerarios puede crear obstáculos en la erupción adecuada de otros dientes.
Malposición dental y perímetro de arco deficiente
La malposición de los dientes puede dificultar la correcta alineación.
Además, un perímetro de arco inadecuado puede ser un factor que contribuya a la maloclusión, debido a la falta de espacio para que los dientes se coloquen correctamente.
Traumatismos y su impacto en la oclusión anterior
Los traumatismos en la infancia, especialmente en los dientes anteriores, pueden llevar a una malposición de los dientes permanentes.
Estas lesiones pueden alterar la formación de la mordida, resultando en una mordida cruzada anterior si no se aborda adecuadamente.
Diagnóstico clínico y complementario en mordida cruzada anterior

Para abordar de forma adecuada la mordida cruzada anterior, se requiere un diagnóstico preciso que combine la evaluación clínica y el uso de herramientas complementarias.
Este enfoque permite identificar las características específicas del problema y la relación de los dientes y los huesos mandibulares.
El diagnóstico de mordida cruzada anterior se compone de diferentes etapas, entre ellas:
- Evaluación clínica y examen oclusal: El ortodoncista realiza un examen visual para observar la alineación dental y la forma en que los dientes superiores e inferiores encajan al cerrar la boca.
- Herramientas radiográficas y uso de modelos 3D: Ofrecen una visión clara de la relación ósea y dental, permitiendo identificar alteraciones que no son visibles a simple vista.
- Radiografías panorámicas y cefalométricas: Las panorámicas proporcionan una vista completa de todas las estructuras dentales en una única imagen. Por otro lado, las radiografías cefalométricas son cruciales para evaluar la relación esquelética entre el maxilar y la mandíbula.
- Escáner intraoral y análisis digital: Permite crear un análisis tridimensional de la arcada dental, facilitando la planificación de tratamientos ortodónticos personalizados.
- Análisis fotográfico y registros para seguimiento: Se toman imágenes de los dientes, la sonrisa y el perfil facial del paciente útiles para documentar cambios a lo largo del tratamiento.
Consecuencias y complicaciones de la mordida cruzada anterior no tratada
Las complicaciones de la mordida anterior no tratada son múltiples y pueden afectar tanto la salud oral como la estética facial del individuo.
Desgaste dental anormal y deterioro de la función masticatoria
La oclusión incorrecta que caracteriza a esta afección puede provocar un desgaste irregular en los dientes.
Esto se traduce en un deterioro de la función masticatoria, ya que los dientes no hacen un contacto adecuado durante la masticación, lo que puede llevar a:
- Desgaste prematuro de las superficies dentales.
- Problemas con la digestión debido a una masticación ineficaz.
- Aumento de la sensibilidad dental por erosión del esmalte.
Alteraciones estéticas y asimetrías faciales
El impacto estético de una mordida cruzada anterior no tratada puede ser considerable. La desalineación dental puede causar:
- Un aspecto facial desequilibrado.
- Asimetrías que afectan la confianza y la autoimagen.
Estos problemas estéticos pueden influir en la vida social y psicológica del individuo, generando inseguridades relacionadas con la apariencia física.
Problemas en la articulación temporomandibular
La carga desigual de los músculos y articulaciones puede llevar a disfunciones en la articulación temporomandibular (ATM). Esto puede resultar en:
- Dolor mandibular recurrente.
- Ruido en la articulación durante el movimiento.
- Limitación de la apertura bucal.
Si no se trata, estas complicaciones pueden agravarse y convertirse en problemas crónicos.
Dificultades en el habla y funciones orales
Otro de los posibles efectos de esta afección sin tratamiento es la dificultad en la articulación de palabras y sonidos. Esto puede ocasionar:
- Problemas en la pronunciación de ciertos fonemas.
- Desarrollo de patrones de habla inadecuados.
- Incomodidad al hablar, lo que puede afectar la comunicación cotidiana.
Las alteraciones en la función oral pueden llevar a frustraciones en la interacción social y en el ámbito académico.
Cómo corregir mordida cruzada anterior en niños

Si te preguntas cómo corregir mordida cruzada anterior en niños, debes saber que se requiere de tratamientos ortopédicos y ortodóncicos específicos que facilitan la corrección y el desarrollo adecuado de la arcada dental.
Ortopedia funcional
La ortopedia funcional se centra en el uso de dispositivos que moldean y dirigen el desarrollo dental y esquelético.
Estos aparatos son esenciales en la infancia y en etapas de dentición mixta, ya que aprovechan la plasticidad del crecimiento óseo.
Expansión palatina rápida y quad helix
La expansión palatina rápida (EPR) es un método común que utiliza un dispositivo fijo para ampliar el paladar. Al hacerlo, se genera un espacio que permite la correcta alineación de los dientes superiores.
Por otro lado, el quad helix es otro tipo de aparato que, colocado en la parte posterior de la boca, ayuda a expandir la arcada dental y a alinear las mordidas.
Máscara facial y estimulación del crecimiento maxilar
El uso de la máscara facial se ha popularizado por su eficacia en casos de mordida cruzada anterior.
Este dispositivo utiliza la tracción hacia adelante para fomentar el crecimiento del maxilar superior cuando este es insuficiente.
Este tratamiento se complementa en ocasiones con otros métodos, asegurando resultados óptimos en la alineación dental.
Aparatología removible y su uso en dentición mixta
Los aparatos removibles son una herramienta versátil en el tratamiento de la mordida cruzada anterior, especialmente durante la dentición mixta.
Estos dispositivos son fáciles de retirar para la higiene dental y pueden ser utilizados para modificar la posición de los dientes o para expandir el arco dental.
La capacidad de ser retirados permite un seguimiento más efectivo del progreso del tratamiento.
Ortodoncia interceptiva en pacientes pediátricos
La ortodoncia interceptiva se lleva a cabo para corregir problemas de alineación antes de que se conviertan en situaciones más graves.
Este enfoque temprano no solo ayuda a mejorar la mordida cruzada anterior, sino que también optimiza el desarrollo facial y dental, asegurando que el paciente no necesite tratamientos más complejos en el futuro.
Cómo tratar mordida cruzada anterior en adultos
Al buscar cómo tratar mordida cruzada anterior en adultos, encontrarás diversas soluciones que pueden adaptarse a las necesidades específicas de cada paciente.
La elección del tratamiento depende de la gravedad de la condición, así como de los objetivos estéticos y funcionales del individuo.
Uso de brackets convencionales y autoligables
Una de las soluciones más comunes es el brackets, que pueden ser convencionales o autoligables. Los brackets convencionales requieren de ligaduras elásticas para mantener los arcos en su sitio.
Por otro lado, los brackets autoligables utilizan un sistema que permite encajar el arco sin ligaduras, lo que facilita la higiene bucal y puede reducir el tiempo de tratamiento.
Ambos tipos de brackets permiten aplicar fuerza continua sobre los dientes, lo que resulta en un movimiento dental eficaz para corregir la mordida cruzada.
Este tratamiento suele ser personalizado y puede incluir ajustes regulares para alcanzar los mejores resultados.
Corrección con alineadores transparentes y ortodoncia invisible
Una opción que ha ganado popularidad son los alineadores transparentes, que ofrecen una manera más estética y cómoda de corregir problemas de alineación dental.
Estos dispositivos son prácticamente invisibles y retirables, lo que facilita la higiene y la alimentación.
A través de una serie de alineadores, se logra un movimiento gradual de los dientes hacia su posición adecuada.
La ortodoncia invisible puede ser tan efectiva como los brackets tradicionales, dependiendo del caso específico.
La planificación digital avanzada ayuda a fortalecer este método, proporcionando una predicción exacta del movimiento dental esperado.
Indicaciones y técnicas de cirugía ortognática
Cuando la mordida cruzada anterior es severa y no se logra corregir únicamente con tratamientos ortodónticos, puede considerarse la cirugía ortognática.
Esta intervención es especialmente útil para corregir problemas de relación esquelética entre el maxilar y la mandíbula.
Casos de clase III esquelética y corrección quirúrgica
En los casos de clase III esquelética, donde existe una discrepancia significativa entre los maxilares, la cirugía puede ser necesaria para reposicionar los huesos.
Este tipo de tratamiento requiere un enfoque multidisciplinario, involucrando tanto a ortodoncistas como a cirujanos maxilofaciales para asegurar una corrección precisa y efectiva.
Integración de ortodoncia y cirugía en adultos
La combinación de cirugía ortognática con tratamientos ortodónticos garantiza una alineación dental óptima y un resultado estético satisfactorio.
Tras la intervención quirúrgica, se definen sesiones de ortodoncia para finalizar el tratamiento.
Esta colaboración es fundamental para asegurar que la rehabilitación estética y funcional se logre plenamente.
Prevención y recomendaciones para evitar la mordida cruzada anterior

La prevención de la mordida cruzada anterior requiere un enfoque proactivo en la infancia. Controlar ciertos factores puede reducir el riesgo de desarrollar este tipo de maloclusión.
Control de hábitos nocivos en la infancia
Los hábitos orales nocivos pueden influir significativamente en el desarrollo dental.
Es fundamental observar y corregir comportamientos que puedan alterar la alineación de los dientes desde una edad temprana. Incluye:
- Succión del dedo: Este hábito puede modificar la posición de los dientes y afectar al crecimiento maxilar.
- Respiración bucal: Fomentar una respiración nasal adecuada ayuda a mantener una correcta alineación dental.
- Uso prolongado de chupetes: Limitar su uso puede prevenir problemas en la mordida.
Importancia de revisiones odontológicas periódicas
Las revisiones dentales regulares son esenciales para identificar problemas antes de que se agraven. Un dentista puede monitorear el desarrollo dental y ofrecer orientación sobre la higiene oral.
Durante estas visitas:
- Se evalúa el crecimiento y la erupción de los dientes.
- Se pueden detectar hábitos nocivos y abordarlos de inmediato.
- Se ofrece asesoramiento sobre la salud dental general y la prevención de maloclusiones.
Tratamiento precoz de problemas respiratorios y funcionales
Los problemas respiratorios, como la respiración bucal, pueden influir negativamente en el desarrollo dental y facial. Identificarlos y tratarlos pronto es crucial.
Algunas acciones incluyen:
- Establecer un diagnóstico adecuado de problemas respiratorios para implementar intervenciones necesarias.
- Involucrar a especialistas en otorrinolaringología si es necesario.
- Promover técnicas de respiración adecuada para facilitar una correcta función oral y dental.







