Si te preguntas “cómo saber si tengo una caries”, es fundamental acudir al dentista para un diagnóstico adecuado y tratamiento para evitar complicaciones mayores.
Las muelas con caries son un problema dental frecuente que puede causar dolor e incomodidad. Esta afección se debe a caries, que se forman por la acumulación de bacterias en la boca que descomponen el esmalte dental.
Identificar una muela picada implica reconocer varios síntomas, como dolor localizado, sensibilidad dental y manchas en el diente.
Cómo saber si tengo una caries y qué las ocasiona
Las muelas infectadas, consecuencia de caries dental, representan un problema que afecta la salud bucal de muchas personas. Comprender su definición y las causas de las muelas con caries es fundamental para prevenir y tratar esta afección.
Causas de las muelas con caries
Una muela con caries se refiere a un molar que ha sido dañado por la acción de caries, las cuales son provocadas por la acumulación de ácidos generados por bacterias en la boca.
Las razones de por qué se pica una muela es que estos microorganismos metabolizan los azúcares, lo que lleva a la erosión del esmalte dental y eventual formación de cavidades. Con el tiempo, estas cavidades pueden extenderse hacia el interior del diente, comprometiendo su salud y función.
Factores que provocan el deterioro del esmalte dental
El esmalte dental es la primera línea de defensa contra las caries. Sin embargo, diversos factores pueden contribuir a su debilitamiento:
- La presencia de ácidos en la dieta.
- El consumo excesivo de alimentos cariogénicos.
- La falta de minerales esenciales para su fortalecimiento.
Influencia de la higiene oral insuficiente y la placa bacteriana
Una higiene bucal negligente puede llevar a la acumulación de placa bacteriana, un biofilm que alberga bacterias dañinas.
Si esta placa no se elimina mediante el cepillado y el uso de hilo dental, se endurece y forma sarro, aumentando el riesgo de caries. La higiene oral debe ser parte esencial de la rutina diaria para evitar problemas dentales severos.
¿Por qué se pica una muela? Consumo de azúcares
Los azúcares son una de las principales razones de por qué se pica una muela. La dieta que incluye un alto consumo de dulces, refrescos y otros alimentos azucarados proporciona un entorno propicio para las bacterias, que a su vez generan ácidos que erosionan el esmalte dental.
Mantener una alimentación equilibrada es imprescindible para reducir este riesgo.
Papel del flúor en la prevención de caries
El flúor es un mineral que desempeña un papel crucial en la salud dental. Este componente ayuda a remineralizar el esmalte, haciéndolo más resistente a la acción desmineralizante de los ácidos.
La adición de flúor en el agua potable y en pastas dentales es una práctica recomendada para prevenir la aparición de caries.
Predisposición genética y otros factores de riesgo
La genética también puede influir en la susceptibilidad a las caries. Algunos individuos presentan un esmalte dental más débil o condiciones salivares que facilitan el desarrollo de caries. Otros factores de riesgo incluyen:
- Condiciones médicas que afectan la saliva.
- Medicamentos que causan boca seca.
- Edad, siendo los niños y los ancianos más propensos.
Síntomas y señales de una muela con caries

Existen varios síntomas y señales para identificar una muela picada o caries en los molares.
Dolor localizado y sensibilidad dental
Uno de los principales signos de una muela picada es el dolor intenso en la zona afectada. Este dolor suele ser agudo y puede variar en intensidad, especialmente al realizar acciones como masticar.
La sensibilidad dental también es un indicativo claro, donde el diente dañado reacciona de forma adversa a ciertos estímulos.
Características del dolor punzante al masticar
El dolor al masticar puede ser particular e intenso. La presión ejercida sobre el diente afectado puede desencadenar un dolor punzante que resulta incómodo.
Este síntoma se presenta con frecuencia cuando hay un daño significativo en el esmalte o si la caries ha avanzado hacia la dentina.
Sensibilidad ante bebidas frías y alimentos
La sensibilidad dental se manifiesta comúnmente al consumir líquidos fríos o alimentos fríos, pero también puede ocurrir con ciertos alimentos calientes, la exposición a temperaturas extremas puede causar molestias.
Esto es particularmente notorio en las personas que tienen muelas afectadas por caries. Tal sensibilidad puede ser persistente, incluso después de que se retira el estimulante.
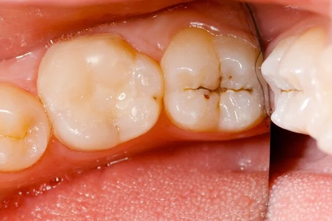
Aparición de manchas marrones y pequeños agujeros en el diente
El deterioro del esmalte dental debido a caries puede llevar a la aparición de manchas marrones o amarillentas. Estos cambios en el color suelen ser signos visibles de desmineralización.
Con el tiempo, estas manchas pueden transformarse en pequeños agujeros, conocidos como cavidades, que requieren atención profesional inmediata.
Mal aliento y sabor desagradable en la boca
Las señales de una muela con caries, también suponen un incremento en la proliferación de bacterias, lo que se traduce en mal aliento persistente. Muchas veces, se acompaña de un sabor desagradable, que puede ser metálico o amargo.
Estos síntomas son típicos cuando las caries están activas y a menudo indignan a quienes lo padecen.
Inflamación y problemas en las encías relacionados
Otra de las señales de una muela con caries puede ser la inflamación de las encías. Esto ocurre cuando la caries avanza y afecta el tejido blando circundante.
Puede manifestarse a través de enrojecimiento, hinchazón e incluso sangrado al cepillarse o morder alimentos. La salud de las encías es fundamental y su deterioro puede complicar el estado de la muela afectada.
Diagnóstico profesional mediante revisión y radiografías
Además de las señales para identificar una muela picada, es fundamental acudir a un dentista. Durante la consulta, el profesional llevará a cabo una revisión visual y probablemente podrá solicitar radiografías.
Estas pruebas ayudan a identificar caries ocultas o daños que no son visibles a simple vista. La detección temprana es vital para un tratamiento eficaz y para evitar complicaciones mayores.
¿Qué pasa si tengo una muela con un agujero?

Saber «qué pasa si tengo una muela con un agujero« es fundamental para entender los riesgos que implica esta situación. Las cavidades pueden ser indicativas de un daño dental considerable que requiere atención profesional.
Cómo reconocer cavidades visibles en el esmalte dental
Las cavidades en las muelas suelen ser visibles y pueden manifestarse como pequeñas manchas oscuras en el esmalte. A medida que la caries progresa, estas manchas pueden evolucionar hacia agujeros más evidentes. Ciertos signos incluyen:
- Agujeros notables en la superficie del diente.
- Superficies rugosas o irregulares en el esmalte.
- Cambios en el color del diente, pasando de blanco a amarillo o marrón.
Detectar las características y señales de una muela con caries a tiempo es crucial para evitar complicaciones mayores.
Riesgos de una muela picada por dentro y afectación de la dentina
La duda de qué pasa si tengo una muela con un agujero es habitual. En este caso, el daño no solo afecta la capa exterior. La caries puede penetrar hacia la dentina, que es más blanda y vulnerable. Este tipo de deterioro puede provocar:
- Aumento del dolor dental y sensibilidad a temperaturas extremas.
- Infecciones que pueden comprometer la salud general.
- Mayor dificultad para tratar el diente afectado si se retrasa la atención.
Es vital prestar atención a las señales de una muela con caries o cambio en la salud dental para mitigar estos riesgos.
Posible evolución hacia infección de la pulpa dental
Si las señales de una muela con caries avanzan, el agujero puede alcanzar la pulpa dental, la parte interna del diente que contiene nervios y vasos sanguíneos. Esta situación puede desencadenar problemas serios, como:
- Dolor intenso que puede volverse constante.
- Desarrollo de un absceso dental, que podría requerir intervención quirúrgica.
- Infección que se propague a otras áreas del cuerpo.
Recibir tratamiento para una muela picada debe considerarse imprescindible en estas circunstancias para evitar complicaciones severas.
Consecuencias de dejar mucho tiempo una muela con caries

Dejar mucho tiempo una muela infectada puede llevar a complicaciones significativas. Ignorar los síntomas y retrasar el tratamiento para una muela picada podría resultar en:
- La pérdida del diente afectado debido a un daño irreversible.
- La necesidad de tratamientos más invasivos, como la endodoncia o extracción.
- Impacto en la salud bucal general y problemas de masticación.
Por lo tanto, es esencial reconocer las señales de una muela con caries y buscar la atención adecuada con prontitud.
Tratamiento para una muela picada con un agujero
El abordaje de las caries se adapta a la gravedad de la caries. El tratamiento para una muela picada con un aguejo varía desde soluciones mínimamente invasivas hasta intervenciones más complejas.
Empaste dental: procedimiento y materiales empleados
Un tratamiento para una muela picada muy común es el empaste dental. Este procedimiento implica la eliminación de la parte dañada del diente y su relleno con materiales especializados.
Resina compuesta y porcelana en obturaciones
Los materiales más utilizados para los empastes son la resina compuesta y la porcelana. La resina compuesta se elige con frecuencia por su capacidad para camuflarse con el color del diente, ofreciendo una solución estética.
Por su parte, la porcelana es más resistente, siendo ideal para muelas que requieren mayor durabilidad.
Uso de anestesia local durante el tratamiento
Previo al procedimiento, se aplica anestesia local para garantizar que el paciente no sienta dolor. Esto hace que la experiencia sea más confortable y permite al dentista trabajar de manera más efectiva en la zona afectada.
Coronas dentales para casos de daño extenso
En situaciones donde el daño en la muela es considerable, se puede recomendar la colocación de una corona dental como el mejor tratamiento para una muela picada. Esta opción proporciona una protección integral al diente, restaurando su forma y función.
Endodoncia o tratamiento de conducto radicular
Cuando la caries ha avanzado hasta afectar la pulpa dental, realizar una endodoncia destaca como la mejor opción. Este tratamiento para una muela picada permite salvar el diente de la extracción y aliviar el dolor asociado.
Vaciar el interior y sellar el diente afectado
Durante la endodoncia, el dentista vacía el interior del diente afectado, eliminando la pulpa enferma. Posteriormente, se desinfecta y sella el conducto radicular para prevenir futuras infecciones.
Extracción dental y opciones tras la cirugía
En casos extremos, cuando la muela está demasiado dañada y no puede ser reparada, se procede a su extracción. Esta decisión se toma para evitar complicaciones mayores que puedan afectar la salud bucal.
Implantes dentales y puentes como soluciones de reemplazo
Tras la extracción, existen opciones de reemplazo disponibles. Los implantes dentales son una opción popular, ya que brindan una solución permanente y funcional.
Por otro lado, los puentes dentales son útiles para cubrir el espacio dejado por la muela extraída, restaurando la estética y la funcionalidad de la sonrisa.
Prevención y mantenimiento de la salud dental para evitar muelas picadas

La prevención es fundamental para mantener la salud dental y evitar problemas como las muelas picadas. Mediante una correcta higiene y hábitos saludables, es posible minimizar el riesgo de caries y asegurar una buena salud bucal a largo plazo.
Higiene oral efectiva: cepillado y uso de hilo dental
Un buen régimen de higiene bucal consiste en cepillarse los dientes al menos dos veces al día. Utilizar un cepillo de dientes adecuado, de cerdas suaves, y una técnica correcta es esencial.
El uso de hilo dental es igualmente importante, ya que permite eliminar la placa y restos de alimentos en los espacios interdentales, donde el cepillo no llega.
Importancia de la pasta dental con flúor y enjuagues bucales
La pasta dental con flúor es esencial para fortalecer el esmalte dental y prevenir la formación de caries.
El flúor ayuda a remineralizar las áreas débiles del diente, protegiéndolo de la erosión causada por los ácidos. Se recomienda utilizar pastas dentales que contengan al menos 1000 ppm de flúor.
Adicionalmente, el uso de enjuagues bucales que contengan flúor puede ser beneficioso. Estos productos complementan el cepillado y el uso de hilo dental.
Control del consumo frecuente de alimentos y bebidas azucaradas
Limitar la ingesta de azúcares y carbohidratos refinados es fundamental para evitar que las bacterias se alimenten y produzcan ácidos que dañan el esmalte dental.
Visitas periódicas a la clínica dental para limpiezas profesionales
Realizar visitas regulares al dentista, al menos una vez al año, es fundamental para mantener un control sobre la salud dental.
Cómo saber si tengo una caries: Preguntas frecuentes

Existen muchas dudas comunes en torno a las muelas picadas y las caries dentales. A continuación, se presentan respuestas a algunas de las preguntas más frecuentes para ayudar a comprender mejor esta problemática dental.
¿Cómo saber si tengo una caries?
El dolor causado por una muela picada suele ser localizado y punzante. A menudo se intensifica al masticar o al consumir alimentos y bebidas frías.
Este tipo de dolor puede diferenciarse de otros dolores dentales, como los que provienen de problemas en las encías o de otros dientes. Sin embargo, es fundamental acudir a un especialista para una evaluación precisa.
¿Es posible curar una muela con caries sin tratamiento profesional?
Las muelas picadas requieren atención dental para ser tratadas adecuadamente. Intentar curar una caries por cuenta propia no sólo es ineficaz, sino que puede empeorar la condición.
Solo un dentista está capacitado para evaluar el daño y proponer el tratamiento adecuado, como empastes o coronas, según sea necesario.
¿Las carillas dentales o blanqueamientos ayudan contra las muelas picadas?
Las carillas dentales y los blanqueamientos no son tratamientos adecuados para las muelas picadas. La caries debe tratarse primero mediante métodos apropiados, como empastes.
¿Qué hacer en caso de síntomas graves o infecciones dentales?
Si se experimentan síntomas graves, como dolor intenso, hinchazón o fiebre, es vital acudir al dentista de inmediato. Estos pueden ser signos de una infección seria que necesita tratamiento urgente.
Ignorar estos síntomas puede llevar a complicaciones más graves, como abscesos dentales o infecciones que pueden extenderse a otras áreas del cuerpo.
¿Cómo afectan las muelas picadas a la estética dental y salud general?
Las muelas picadas no solo comprometen la salud dental, sino que también afectan la estética de la sonrisa. Las caries pueden provocar manchas y daños visibles en los dientes, lo que puede influir en la autoestima. A nivel general, la presencia de caries no tratadas puede aumentar el riesgo de infecciones, que a su vez pueden repercutir en la salud general de una persona.







